SALUD |

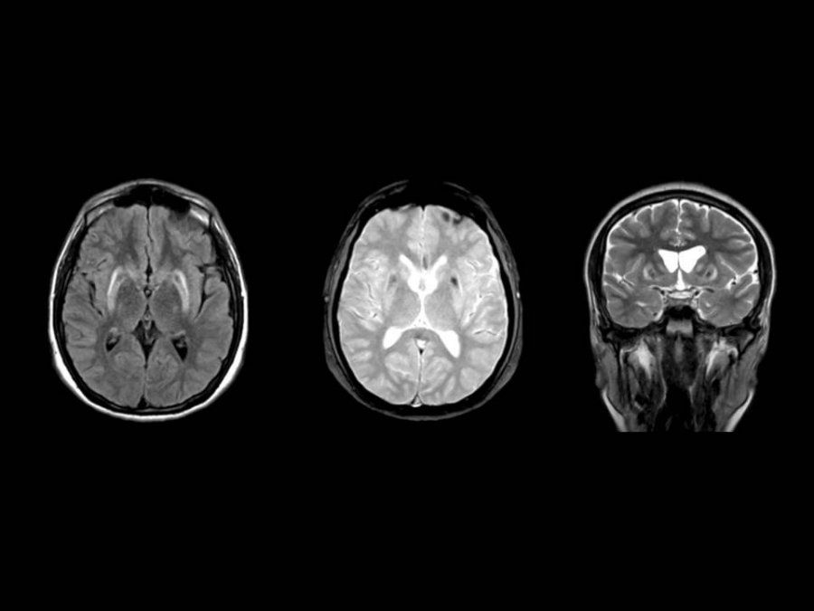
Síndrome de Hakim-Adams o hidrocefalia de presión normal, otra afección que puede atacar después de los 50

La enfermedad, también conocida como hidrocefalia de presión normal es de carácter neurológico. Por esta condición y los síntomas suele vincularse al Alzheimer, Parkinson, arterioesclerosis o síntomas propios de la senilidad.

Esta enfermedad, que suele aparecer en personas mayores a los 50 años, tiene por principal síntoma la debilidad en las piernas y las consecuencias que esto acarrea al paciente, con dificultades para caminar y el riesgo de sufrir caídas. También tiene derivaciones neurológicas.

"El diagnóstico de hidrocefalia de presión normal es a menudo hecho tardíamente, dado que sus síntomas son similares a los de otros desórdenes. Esto hace que muchos pacientes no sean tratados de la forma adecuada", define Anselmo Rodríguez Loffredo, profesor de Neurocirugía de la UBA, neurocirujano y consultor de la Fundación Favaloro.

El problema del síndrome de Hakim-Adams es que en la mayoría de los casos la enfermedad no presenta causas aparentes, pero los médicos aseguran que podrían desencadenarla ciertas obstrucciones, traumatismos, meningitis u otras infecciones, hemorragias o cirugías.

Una vez que se detecta la afección, el tratamiento consiste en la implantación de una válvula para derivar el líquido cefalorraquídeo desde el cerebro hacia el abdomen, donde es absorbido. El paciente puede mejorar ostensiblemente con un tratamiento específico y retomar sus actividades cotidianas.

Dejá tu comentario